肿瘤细胞对高水平甲硫氨酸的依赖性为癌症治疗提供了一个潜在靶点。然而,由于甲硫氨酸在细胞代谢过程中具有重要功能,因此系统性阻断甲硫氨酸可能会引起副作用。有鉴于此,上海交通大学宋海云研究团队在Advanced Materials发表了题为“Multiplex Methionine Modulating Hydrogel for Cancer Metabolic Therapy”的研究论文,该研究设计和构建了一种甲硫氨酸多元调控水凝胶(Multiplex Methionine Modulating Hydrogel,3M Gel),通过干预肿瘤细胞外甲硫氨酸摄取和细胞内甲硫氨酸代谢,诱导肿瘤细胞发生免疫原性死亡,重塑肿瘤微环境,抑制肿瘤生长,并克服肿瘤对免疫检查点阻断疗法的耐药性,为肿瘤代谢治疗提供了新策略。
一、研究背景
肿瘤细胞的疯狂增殖离不开代谢的异常重编程,而甲硫氨酸正是肿瘤细胞的关键营养物质。与正常细胞相比,肿瘤细胞对甲硫氨酸的需求更高,且会过度表达L型氨基酸转运蛋白(LATs)来大量摄取外源性甲硫氨酸。
甲硫氨酸在细胞内通过代谢循环生成S-腺苷甲硫氨酸(SAM),SAM作为通用甲基供体,帮助肿瘤逃避免疫系统攻击,对肿瘤的发生发展至关重要。然而,全身性阻断甲硫氨酸代谢可能引发严重副作用。
因此,如何精准靶向肿瘤细胞的甲硫氨酸代谢成为研究的关键。
二、研究设计
核心策略:三重甲硫氨酸调控体系构建
研究团队设计了多靶点甲硫氨酸调控水凝胶(3M Gel),通过“细胞外摄取阻断-细胞内代谢级联抑制”的协同策略实现肿瘤局部甲硫氨酸剥夺。该体系包含:
(1)细胞外甲硫氨酸摄取抑制剂
JPH203:靶向LATs蛋白,阻断肿瘤细胞外源性甲硫氨酸吸收。
(2)细胞内甲硫氨酸代谢级联抑制剂
PF9366:抑制甲硫氨酸腺苷转移酶2A,阻断甲硫氨酸向SAM的转化。
腺苷二醛(ADOX):抑制腺苷同型半胱氨酸酶,阻断S-腺苷同型半胱氨酸(SAH)水解,抑制甲硫氨酸再生。
(3)智能递送系统
肿瘤靶向纳米颗粒(PA-MMPs):采用PCL-Hyd-PEG共聚物自组装成酸敏感胶束,包裹PF9366和ADOX;经同源肿瘤细胞膜伪装并修饰低pH插入肽(pHLIPs),实现酸性肿瘤微环境(TME)响应性靶向结合与内化。
ROS敏感水凝胶:负载PA-MMPs 和JPH203,在高ROS水平的TME中降解,实现药物持续释放。
Fig1.甲硫氨酸多元调控水凝胶介导的肿瘤代谢治疗策略示意图
三、研究结果与解析
体外功能验证
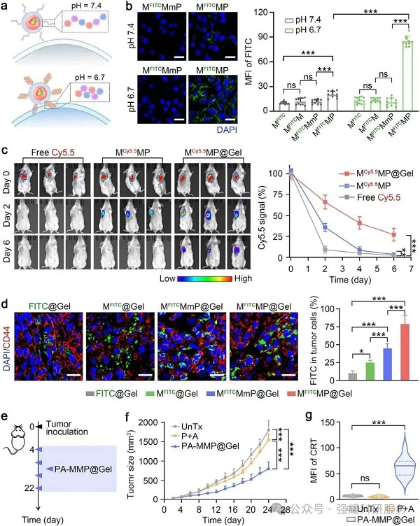
(1)靶向性与安全性:PA-MMPs 在酸性 TME(pH 6.7)中肿瘤细胞结合效率较中性环境提升 2.3 倍,对正常免疫细胞(BMDMs、DCs、CD8⁺T)无毒性。
(2)代谢调控:PA-MMPs 与 JPH203 联合处理使 4T1 细胞内甲硫氨酸↓42%,SAM↓67%,组蛋白 H3K4me3 修饰↓58%。
(3)免疫原性细胞死亡(ICD)诱导:CRT 膜转位增加,胞外 ATP↑ 2.1 倍,HMGB1 核释放增加,触发免疫原性细胞死亡。
Fig2. 调节甲硫氨酸纳米颗粒的靶向性和治疗效率
体内治疗efficacy
(1)单模型疗效(TNBC):3M Gel 使肿瘤体积减少 56.0%±5.7%,中位生存期从22 天延长至 43 天;肿瘤内 CD8⁺T 细胞浸润↑3.2 倍,DC 成熟标志物(CD80⁺CD86⁺)↑2.8 倍。
Fig3. 3M Gel在原位TNBC中的治疗效果
(2)广谱性验证:在 H22 肝癌模型中肿瘤体积↓67.4%±4.2%,CT26 结直肠癌模型中↓61.3%,均伴随 ICD 激活和免疫浸润增强。
(3)免疫检查点阻断(ICB)增敏:3M Gel 与 αPD-1 联合治疗使 TNBC 肿瘤进一步↓41%,血清 IFN-γ↑2.3 倍、颗粒酶 B↑1.8 倍,中位生存期延长。
Fig4. 3M Gel克服TNBC对免疫检查点抑制剂的耐药性
机制通路解析
(1)代谢-表观遗传调控轴:SAM水平降低导致组蛋白甲基化异常。
(2)代谢-免疫交叉调控:ICD 诱导肿瘤抗原释放,促进 DC 成熟与抗原呈递,激活 CD8⁺T 细胞介导的特异性免疫。
(3)肿瘤微环境(TME)重塑:减少 M2 型肿瘤相关巨噬细胞比例,降低免疫抑制因子分泌,将 “冷肿瘤” 转化为 “热肿瘤”。
四、总结
(1)实验利用肿瘤细胞靶向纳米颗粒(NPs)对小分子抑制剂PF9366和腺苷二醛进行封装,以实现细胞内甲硫氨酸代谢的级联阻断。研究者进一步将该NPs与细胞外甲硫氨酸摄取抑制剂JPH203共负载到对活性氧敏感的水凝胶中,以组装制备可多重调节甲硫氨酸的水凝胶(3M凝胶)。
(2)在小鼠三阴性乳腺癌(TNBC)、肝细胞癌和结直肠癌等模型中,原位形成的3M凝胶可在限制S-腺苷甲硫氨酸生成和组蛋白甲基化、刺激肿瘤细胞免疫原性细胞死亡等方面表现出优越的疗效,从而能够引发有效的先天和适应性免疫反应,以抑制肿瘤进展。此外,3M凝胶也能够通过重塑肿瘤微环境克服TNBC对免疫检查点阻断的抵抗。
综上所述,该研究开发了一种局部三重调控策略,能够为实现基于氨基酸饥饿的癌症治疗开辟一条新的途径。
本研究中硫醇化pHLIPs由强耀生物提供;强耀生物提供多肽合成,蛋白和抗体制备等优秀服务助力科研。


联系我们
返回